Le protocole expérimental présenté ici s’est déroulé
à l’Institut Neurologique de Montréal (INM) en mai et juin
2002. L’INM est l’une des quatre institutions membre du Consortium
International de Cartographie Cérébrale (« International Consortium
for Brain Mapping (ICBM) »).
Ce consortium, qui comprend également
l’Université de Californie à Los Angeles, l’Université
du Texas à San Antonio et l’Université Juelich/Heinrich Heine
en Allemagne fut formé en 1993. Son rôle est de développer
un atlas probabiliste du cerveau. Un atlas cérébral ne peut en effet
se concevoir qu’en terme de probabilité étant donné
la grande variabilité morphologique et fonctionnelle des cerveaux des individus.
Le consortium travaille à la fois sur un atlas structurel (la probabilité
qu’à tel endroit, on retrouve telle structure cérébrale)
et à la fois sur un atlas fonctionnel (la probabilité qu’à
tel endroit, l’activité neuronale augmente au cours de telle tâche).
Le protocole qui sera décrit ici s’inscrit dans le volet fonctionnel
du projet.
À Montréal, une cinquantaine de sujets en santé
et âgés entre 20 et 40 ans y ont pris part. Le même nombre
de sujets ont aussi été testé des les autres universités
du consortium à l’aide du même protocole pour pouvoir mettre
en commun les résultats obtenus. Le sujet venait à deux reprises
faire cinq tests différents : une première fois en IRMf, et la seconde
fois en TEP.
Voici d’abord une série de photos illustrant
quelques étapes du protocole avec l’IRMf
:
![]() | ![]() | ![]() | ![]() |
| Le sujet reçoit les consignes et est introduit dans le scan d’IRMf. | |||
![]() | ![]() |
| Au bout de quelques minutes, l’ordinateur est en mesure de produire des images structurelles en IRM de coupes sagittales (à gauche) et axiale (à droite) du cerveau du sujet. | |

Une coupe sagittale
mettant en évidence l’intérieur de l’hémisphère
cérébral gauche du sujet.
Voici maintenant une série de photos illustrant quelques étapes du protocole avec la TEP:
![]() | ![]() | ![]() |
| On installe dans le bras du sujet un cathéter par où la solution d’eau radioactive sera injectée à intervalles réguliers. | ||
![]() | ![]() |
| Vue de derrière du scan qui permet de voir le moniteur où apparaissent les images associées à différentes tâches (ici, les tableaux abstraits associés à la tâche faisant intervenir la mémoire de travail). | |

La solution d’eau
radioactive à demie-vie courte (2 minutes) est produite dans la pièce
voisine et acheminée dans la salle du TEP où son niveau de radioactivité
est vérifié avant d’être administré au sujet.
Pour l’IRMf ainsi que pour la TEP, chaque sujet était soumis à une batterie de cinq tests de référence commun pour toutes les universités du consortium. Voici une brève description de ces cinq tâches :
Chaque
tâche comportait aussi une tâche contrôle qui permettait à
l’ordinateur de déduire les zones cérébrales plus actives
lors de chaque tâche particulière.
Voici une image synthèse
des résultats obtenus. Les deux cercles blancs indiquent des sites potentiellement
intéressants pour une éventuelle SMT
couplée à une TEP.

Source: ICBM et le Dr. Roger Woods, UCLA.
Voici ensuite les résultats de cinq sujets différents pour
la tâche d’imitation avec la main et pour la génération
de verbes vus. Les tâches ont été répétées
cinq fois pour chaque sujet. Notez la grande variabilité individuelle.

Source: ICBM et le Dr. Roger Woods, UCLA.
En terminant, voici quelques images du cerveau du sujet de Montréal durant certaines tâches particulières :

Coupe axiale en IRMf
durant la tâche de génération de noms suite à une description
auditive de celui-ci : l’activité principale a lieu dans l’hémisphère
gauche, dans les aires associées à la compréhension et à
la génération du langage.

Coupe coronale en
IRMf durant la tâche faisant intervenir la mémoire de travail avec
la série de tableaux abstraits: l’activité principale a lieu
dans le cortex préfrontal.

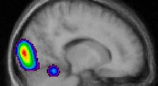
Coupe sagittale en
TEP durant la tâche d’imitation avec la main droite: l’activité
principale a lieu dans le cortex visuel et l’activité secondaire
dans le cervelet (coordination motrice).

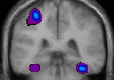
Coupe coronale en
TEP durant la tâche d’imitation avec la main droite : l’activité
principale a lieu dans le cortex moteur de l’hémisphère gauche
et l’activité secondaire dans les deux cortex visuels ventraux.
|
|
| Fermer cette fenêtre |